Protect Your Sight Before It’s Too Late
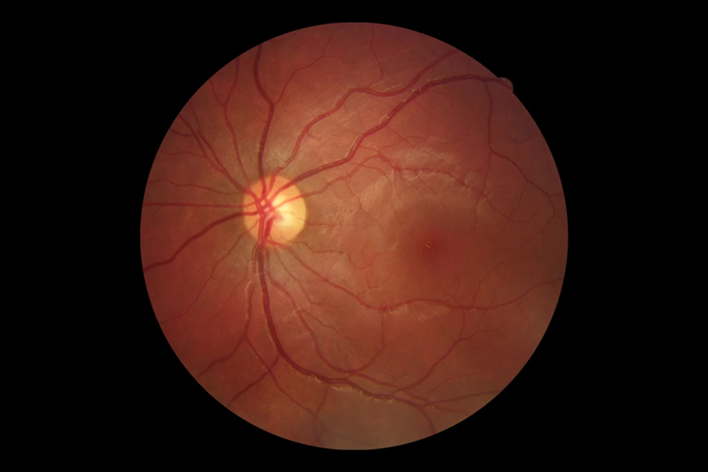
Glaucoma is often called the ‘silent thief of sight’ because it often develops gradually, without noticeable symptoms in its early stages. By the time vision loss becomes apparent, irreversible damage may have already occurred. That’s why routine glaucoma screenings are essential, especially if you have a family history of the condition.
Our comprehensive glaucoma screening includes eye pressure checks and a detailed assessment of your optic nerve to detect any early signs of damage. While high eye pressure is a common risk factor, glaucoma can also develop without it. If any concerns arise, we’ll refer you to an ophthalmologist for further evaluation, diagnosis and treatment.
The good news? Glaucoma is manageable with early detection, and treatment is often as simple as daily eye drops, which can help protect your vision for years to come. Plus, most medical aids, including Discovery, offer Vitality points for regular glaucoma screenings.

Book your glaucoma screening today and take a proactive step in safeguarding your vision.
Enquire Now
We’d love to hear from you! Let’s chat about how we can help.





